Super Mario RPG: un clásico renovado que desembarca este viernes en...
Reúne a un grupo de héroes fuera de lo común y embárcate en una cautivadora aventura para reparar la Vía Estelar. El 17 de...
Presentación de los monstruos de Dragon Quest Monsters: El príncipe oscuro
Te damos la bienvenida al mundo de Nadiria, donde tendrás la oportunidad de domar a más de 500 monstruos salvajes y mágicos, en Dragon Quest...
RONDO, El nuevo mapa de PUBG: BATTLEGROUNDS, llegará pronto
Krafton ha anunciado que, en el 10º mapa de su juego por excelencia, se lanzará en el próximo mes. Esta noticia ha sido revelada...
PlayStation anuncia las novedades de los catálogos de PlayStation Plus para...
Sony Interactive Entertainment ha presentado los títulos que llegarán este mes sin coste adicional en el catálogo de juegos, para los niveles de PlayStation...
Ya se puede jugar a Hogwarts Legacy en todas las plataformas
Warner Bros. Games ha anunciado hoy que Hogwarts Legacy, el aclamado juego de rol de mundo abierto, y número uno en ventas de nuevos lanzamientos...
Fallout 76 celebra su 5.º aniversario con eventos y recompensas especiales
Bethesda quiere invitar a los más de 15 millones de jugadores de Fallout 76 hasta la fecha a ponerse sus gorros de fiesta y llamar...
Naheulbeuk’s Dungeon Master construye y gestiona tu mazmorra
Escuchad, guardianes de las mazmorras: el desarrollador indie Artefacts Studio, en colaboración con Dear Villagers, ha lanzado hoy su diabólico creador de mazmorras, el simulador de...
PlayStation Portal ya está a la venta
Sony Interactive Entertainment ha anunciado que PlayStation Portal, el primer dispositivo de juego en remoto de PlayStation, ya está disponible para compra por 219,99€....
Marvel’s Spider-Man 2 vende más de 5 millones de copias en...
La aclamada segunda parte del éxito de Insomniac Games aterrizó el pasado 20 de octubre en PS5 y se ha convertido en el videojuego...
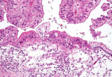
Cáncer de ovario: la inteligencia artificial predice las respuestas a la...
Un modelo basado en inteligencia artificial es capaz de predecir el resultado de la terapia (medido por la reducción volumétrica de las lesiones tumorales)...
Hot Wheels Unleashed 2: Turbocharged – Análisis
Los coches de juguete vuelven a coger velocidad en Hot Wheels Unleashed 2: Turbocharged Carreras de juguete a toda velocidad
Cuando escuchamos el nombre de Milestone,...
Cáncer de ovario: la inteligencia artificial predice las respuestas a la...
Un modelo basado en inteligencia artificial es capaz de predecir el resultado de la terapia (medido por la reducción volumétrica de las lesiones tumorales)...













































